“伤筋动骨一百天”:为何我的脚踝4个月还没好?
姚阿姨今年64岁,4个月前骑车不慎摔倒,导致右侧足跟、踝部疼痛肿胀,活动受限,在当地医院拍X片显示右跟骨、足舟骨骨折,考虑到骨折移位不明显,选择了保守治疗。但是4个月过去了,姚阿姨仍感觉走路疼痛不适。“都说伤筋动骨一百天,为何我的脚踝4个月还没好?”姚阿姨带着疑惑来到足踝骨科,找到了刘毅主任。经过详细询问病情、查体与阅片,刘主任给出了诊断:跗骨联合合并距下关节炎。入院完善相关检查,经过手术治疗后姚阿姨顺利出院,经过一段时间康复,右踝部疼痛消失,恢复正常生活。

什么是跗骨?
跗骨是指足后部的7块骨头,包括跟骨、距骨、足舟骨、骰骨、内侧楔骨、中间楔骨以及外侧楔骨。正常状态下,它们是各自独立的,彼此之间通过韧带、关节相互连接,允许微小活动,以支撑整个人体的重量并帮助步行前进。


图示为足部分区。跗骨是指足后部的7块骨头,包括跟骨、距骨、足舟骨、骰骨、内侧楔骨、中间楔骨以及外侧楔骨。
什么是跗骨联合?
跗骨联合是指两块或更多跗骨之间出现了不应有的连接,限制了它们之间的活动。这种错误的装配连接可以是骨性、软骨性或纤维性,就像一座桥连接了两块骨头,因此过去也被称为“骨桥”。比较常见的包括跟骨-距骨联合和跟骨-足舟骨联合,其他部位发生此类情况相对罕见。
跟骨-足舟骨联合的骨化常常发生在8至12岁,而跟骨-距骨联合的骨化常常发生在12至16岁,开头所说的姚阿姨便是属于跟骨-距骨联合,也就是说姚阿姨可能在青少年的时候就已经出现了跗骨联合。并非所有的跗骨联合都会产生症状,且由于过去经济条件及对此病认识的不足,姚阿姨并没有重视,随着年龄增大,距下关节软骨退变逐渐加重,经过这一次扭伤才意外发现了此病。




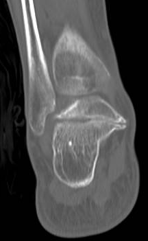
箭头所示为跟距联合。
跗骨联合如何治疗?
对于没有症状的跗骨联合,无需特别处理,也不必限制活动锻炼。实际上,这部分跗骨联合通常是隐秘的,可能成为人体一生中隐藏的秘密。
对于有症状的跗骨联合,首先应该采取的还是保守治疗,休息制动,必要时联合应用抗炎镇痛药物、中药内服外用、针刺艾灸、理疗等,大部分情况下症状能够缓解甚至消失。
如果保守治疗无效,则可以考虑进行手术。对于跟骨-足舟骨联合来说,手术切除的疗效相对比较确切。而跟骨-距骨联合相对复杂,在制定手术方案时需要谨慎评估;一般后足力线正常、距下关节累及较少的可以考虑单纯跗骨联合切除;如果后足显著外翻、距下关节累及较多或已经出现关节退变的,可以考虑进行距下关节融合手术。本文中,姚阿姨已经出现较严重的距下关节炎,故对其进行了跗骨联合切除及距下关节融合术。