background image

股骨头骨折合并髋关节脱位

及髋臼后缘骨折

background image

简要病史

v

男性,

32

v

车祸伤致右髋关节疼痛、肿胀伴活动受限

1

入院。

background image

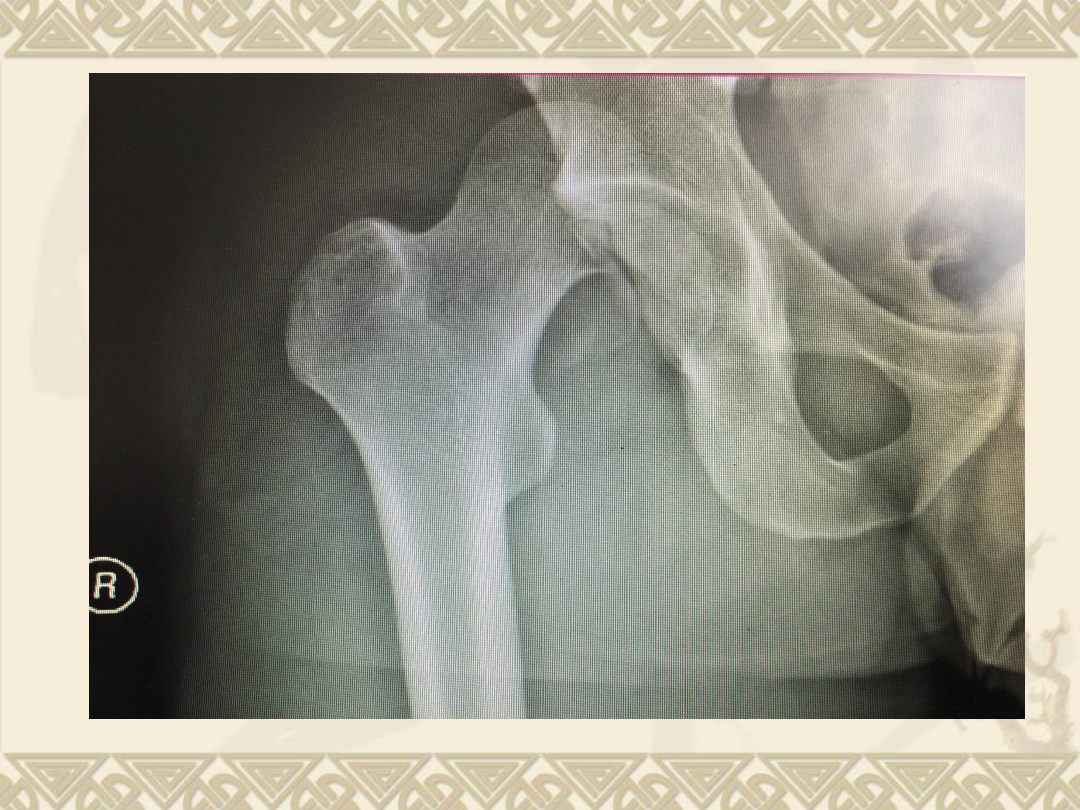
入院后拍片

background image
background image
background image

CT

background image
background image
background image
background image
background image
background image

         

v

1

、右股骨头骨折(

Pipkin 

Ⅳ型骨折)

v

2

、髋关节后脱位

v

3

、髋臼后缘骨折

background image

回顾股骨头骨折分型

v

Ⅰ型

 

:髋关节后脱位伴股骨头中央凹头端骨

v

Ⅱ型:

 

髋关节后脱位伴股骨头中央凹尾端骨

v

Ⅲ型:

  

上述Ⅰ型

 

或Ⅱ型

 

后脱位同时伴股骨

颈骨折

v

Ⅳ型

 

 

上述Ⅰ型、Ⅱ型或

 

Ⅲ型

 

后脱位同时

伴髋臼骨折

background image
background image

怎么办?

background image

先打骨牵引尝试复位

background image

v

牵引后,髋关节复位不佳,考虑后壁缺损不
稳定及软组织嵌顿等原因。

background image

文献报道:对于

Pipkin

Ⅳ型骨折最好

的方法是手术切开复位

background image

如何既要保护股骨头血运又要良好的
显露、复位骨折断端???

background image

GANZ

截骨

v

髋关节

Kocher-

Langenbeck

后方入路

v

从大粗隆后上缘向远端
延伸至股外侧肌后缘,
做厚度为

1.5cm

股骨粗

隆截骨,显露髋关节前

v

屈曲外旋髋关节,脱出
股骨头

background image

GANZ

截骨优点

在充分暴露关节头颈结合部的前提下,最大限度的保护了旋股内动脉

background image

v

将臼内股骨头残端取出

v

复位骨折,

3

枚埋头钉固定

v

复位髋关节

v

最后处理后缘骨折,复位后,钢板螺钉固定。

background image

术后资料

background image
background image