消化道出血,血染的“镜”彩
百色市人民医院 张兰芬
一、什么是消化道出血?
消化道出血(gastrointestinal bleeding)是指从食管到肛门之间的消化道出血。
按照出血部位可分为上消化道出血、小肠出血和下消化道出血,其中以上消化道出血最常见。临床表现为呕血、黑粪或血便等,轻者可无症状,重者伴有贫血,甚至休克,危及生命。
二、如何识别消化道出血?——警惕这些信号!
1.显性出血(容易发现)
(1)呕血:呕吐出血液。可能是鲜红色(出血急、量大)或咖啡渣样,也就是我们平时喝的咖啡的颜色(血液在胃里被胃酸作用后颜色)。
(2)黑便:大便像柏油一样,又黑又亮,黏稠且有特殊的腥臭味。这是上消化道出血的典型表现。
(3)便血:从肛门排出鲜血或暗红色血便,有时与大便混合,有时附着在表面。通常是下消化道出血的表现。
2.隐性出血(不易发现,但危害不小):出血量很小,速度很慢时,肉眼可能完全看不出大便或呕吐物有异常。但长期下去,会导致:贫血:出现头晕、心慌、乏力、脸色苍白、活动后气短等症状。大便潜血阳性:医院通过对粪便的检测查出大便中含有微量血液。
3.大量出血的危重信号
头晕、心慌、自觉心跳极快、出冷汗、皮肤湿冷、口干、尿少、眼前发黑、突然晕倒、意识模糊、烦躁不安
三、为什么会发生消化道出血?(常见原因)
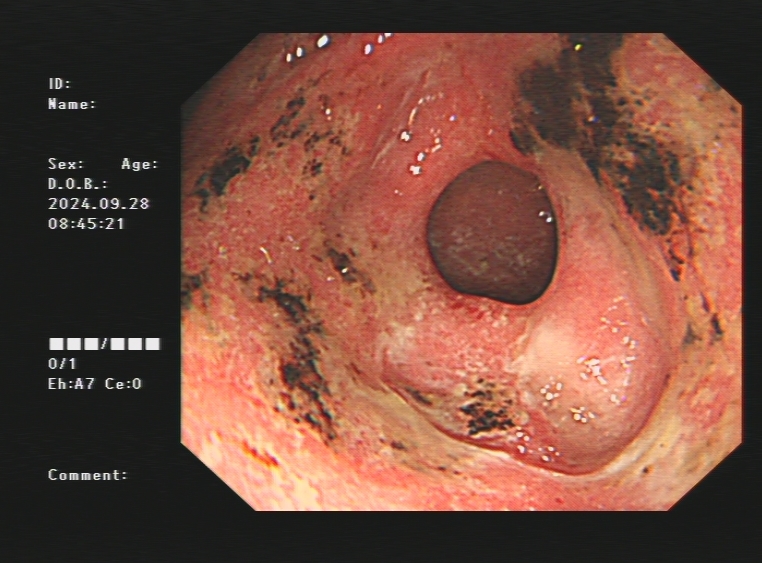
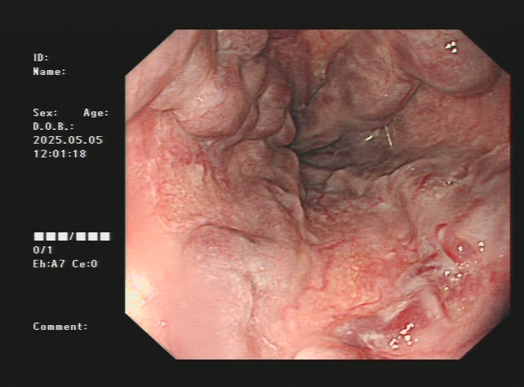
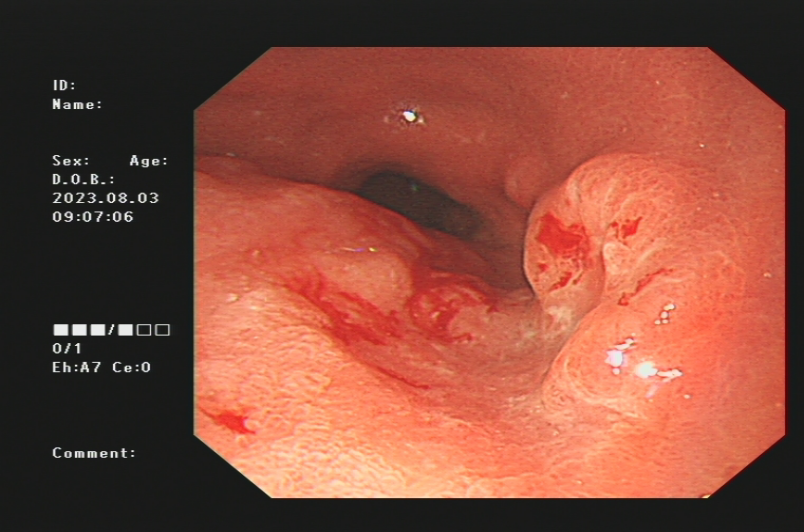
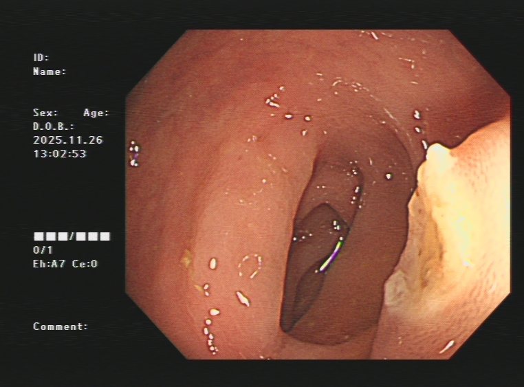
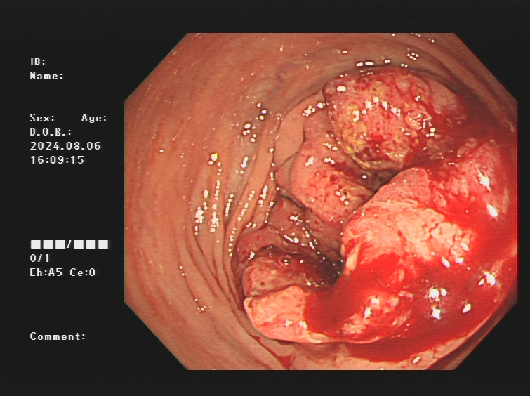
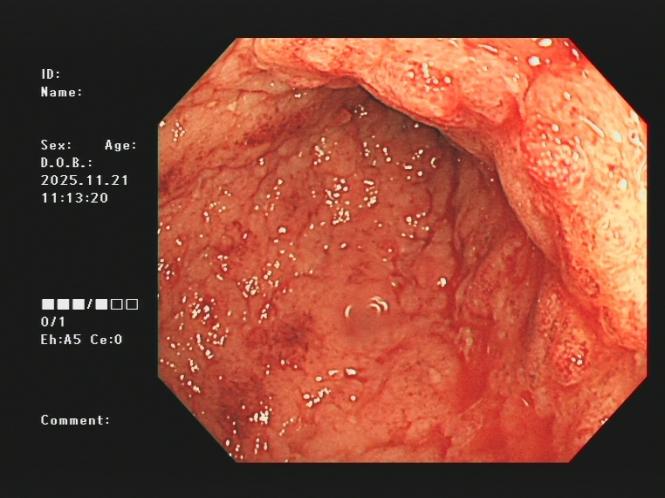
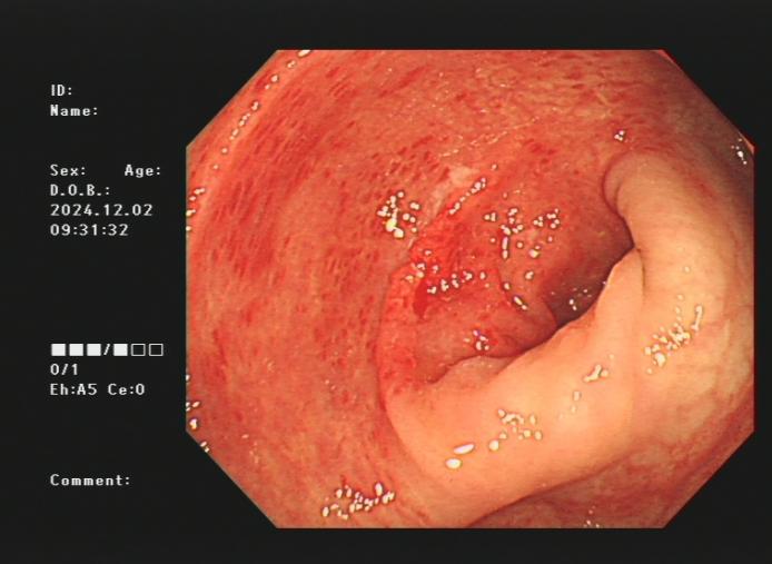
1.上消化道出血常见原因:消化性溃疡(胃溃疡、十二指肠溃疡)、食管炎、急性糜烂出血性胃炎、上消化道肿瘤(食管癌、胃癌)、剧烈呕吐造成的食管贲门黏膜撕裂伤、肝硬化引起的食管胃底静脉曲张。以下是一些常见的上消化道出血内镜图片:
急性胃黏膜病变出血、十二指肠球部溃疡出血及镜下止血夹止血


肝硬化引起的食管及胃底重度静脉曲张镜下止血



食管贲门黏膜撕裂出血

食管癌、胃癌出血


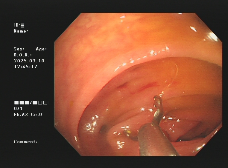
2.小肠出血:小肠出血可以由消化道自身疾病所致,也可由全身疾病及使用治疗药物后引发。年龄是重要因素,不同年龄小肠出血的病因不尽相同。年轻病人(16~40 岁)常见病因有克罗恩病、小肠腺瘤、梅克尔憩室、Dieulafoy 病;中年病人(41~65 岁)常见病因有血管病变、 小肠肿瘤、非特异性肠炎、肠道溃疡、药物相关性出血等;老年病人(>65 岁)常见病因有血管病变、 NSAIDs 相关性溃疡、小肠肿瘤等。以下是小肠出血内镜图片:
回肠末端出血及肠镜下止血夹止血


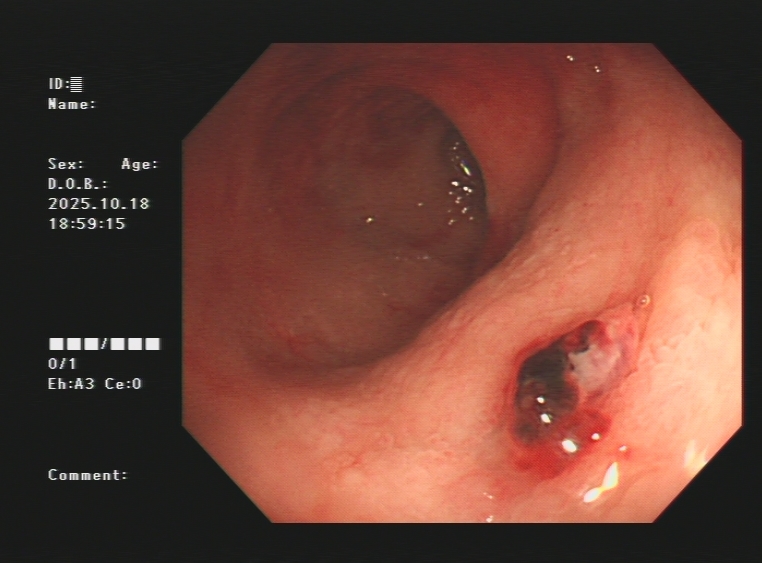
3.下消化道出血常见病因包括痔疮、肛裂、肠息肉、结肠癌、肠道憩室、炎症性病变(溃疡性结肠炎、缺血性肠炎、 感染性肠炎等)。以下是一些常见的下消化道出血内镜图片:
结肠息肉出血镜下切除


结肠癌、溃疡性结肠炎及缺血性肠病出血



结肠憩室出血


4.消化道以外的全身性疾病也可引起消化道出血。①血液病:如白血病、血友病、原发性血小板减少性紫癜;②血管性疾病:如过敏性紫癜、系统性红斑性狼疮、遗传性出血性毛细血管扩张等;③其他:如尿毒症、流行性出血热或钩端螺旋体病等。
一旦出现任何显性出血症状或大量出血的危重信号,
首先不要慌张,不要进食,
立即就医或拨打
医院
急救电话
!
到达医院后
医生会
给您吸氧、输液、输血、药物止血,同时
像侦探一样,
为您
寻找出血点和
出血
原因
。
内镜检查
就是其中最重要的手段
,
在稳定您的心率、呼吸、血压后,再为您完善胃肠镜检查,一旦发现出血点,将会尽最大的努力为您进行镜下止血(局部注射止血药物、打夹子止血、电凝止血、血管内注射药物止血等)
如何预防消化道出血?
预防远胜于治疗,尤其对于高危人群:
1. 规范治疗基础病:如果您有消化性溃疡、肝硬化、炎症性肠病等,务必遵医嘱规范治疗,定期复查。
2. 谨慎用药:
· 避免长期、大量服用非甾体抗炎药(如阿司匹林、布洛芬、对乙酰氨基酚等)。
· 如果因心脑血管疾病必须服用阿司匹林等抗血小板药物,请务必在医生指导下,同时服用保护胃黏膜的药物。
3. 健康生活方式:
· 戒烟限酒:酒精和尼古丁对消化道黏膜有强烈刺激。
· 规律饮食:避免暴饮暴食,少吃辛辣、过硬、过烫的食物。
4. 保持大便通畅:多喝水,多吃富含纤维的蔬果,预防便秘和痔疮。
5. 重视身体信号:一旦出现不明原因乏力、黑便或大便习惯改变、贫血、体重下降,应及时就医检查。
在此,我要特别提一下,说到胃肠镜,很多人都害怕,害怕做的过程镜子会伤到自己、害怕服用泻药、害怕麻醉意外,其实,大家都不必过度担忧,首先,我们的内镜很柔软,完全不会伤到黏膜。对于服用泻药的问题,现在也是有很多途径可以解决,比如术前2天开始吃一些面条、粥、鱼肉、豆腐、白面馒头等食物过度一下,检查前1天晚上配合我们的口服泻药,缓慢饮用,适当走动,必要时候还可以口服一些口香糖、饮料,肠道准备就不成问题。而我们的麻醉医生,术前都会通过您的年龄、病史、心电图、心脏超声、胸片以及您此次的症状去做系统的评估,给您安排一个合适的麻醉方式。对于麻醉不通过的,我们还有胶囊内镜可以供您选择。

消化道出血是一个需要高度警惕的急症。它是身体拉响的警报,提示您的消化系统已出现了问题。不要忽视任何出血的迹象,及时就医、规范治疗是保住生命关键。希望这份科普能帮助您更好地理解和应对消化道出血。祝您健康!