background image

如有没有预见性,往往导致
措手不及、甚至发生不可预
计的情况。

background image

病情介绍

l

男,63岁

l

主诉

外伤后右侧胸部疼痛半小时余

,家人急送我院急诊科就诊。

l

现病史:

    18:13分

 

患者于半小时前骑电动车时摔伤致右侧胸部疼痛,较剧,咳嗽、深呼吸及活动时明显,无

胸闷、呼吸困难,无腹痛腹胀,无大汉淋漓,无腰痛不适,由家人急送我院;

查体:

T36.0℃,BP:126/83mmHg;P88次/分;HR23次/分;SPO296%;疼痛评分:6分;神清

语利,对答切题,双瞳孔直径3.0mm,对光反应灵敏;颈软无压痛,活动无异常,胸廓挤压

征阳性,以右侧胸部压痛明显,双肺呼吸音对称,腹部无明显压痛,双肾区未及明显压痛。

骨盆挤压试验阴性,四肢感觉、活动无异常。

既往史:有带状疱疹病史;无高血压病、糖尿病、心脏病、肾病等病史,否认肝炎、肺结

核病史。

  

background image

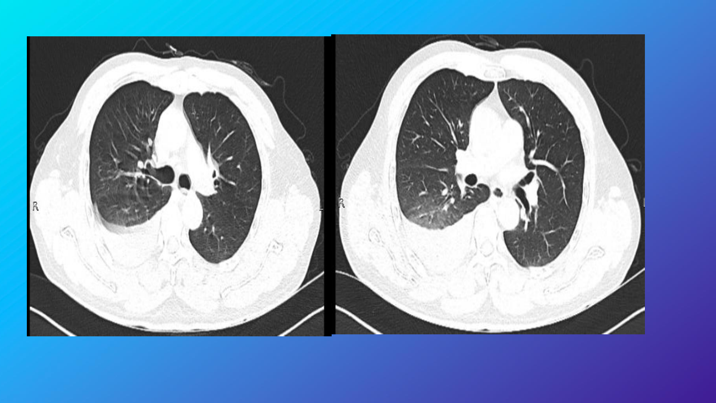
初步处置

急诊完善胸腹部

CT

检查

CT

结果:

右肺中下叶及左肺下叶炎性渗出,右侧胸腔
积液,建议治疗后复查。
左肺各叶数枚良性小结节及钙化灶。
右侧第

6

肋骨骨皮质褶皱。

肝内数枚囊肿。右侧腹股沟管增宽,部分脂
肪疝出。

background image
background image
background image
background image

住院治疗

考虑患者疼痛明显、

CT

示胸腔积

液,故带入抢救室进一步诊治
开通静脉通道、平车平躺、办理
住院。

入院前生命体征

128/86mmhg

P82

/

分,

SPO297%,

故收入胸外

科住院、接神经外科病区。

background image

病情变化了,害怕吗

19:21入院生命体征:
BP 105/74mmhg,P90次/分,SPO2 
96%,T36.9℃
20:05分病情变化:
患者大汗淋漓、面色苍白、全身湿冷;
当时视物模糊、呼吸困难
汇报外科医生完善血化验、备血、床边
B超、开通多路静脉通路、置管深静脉

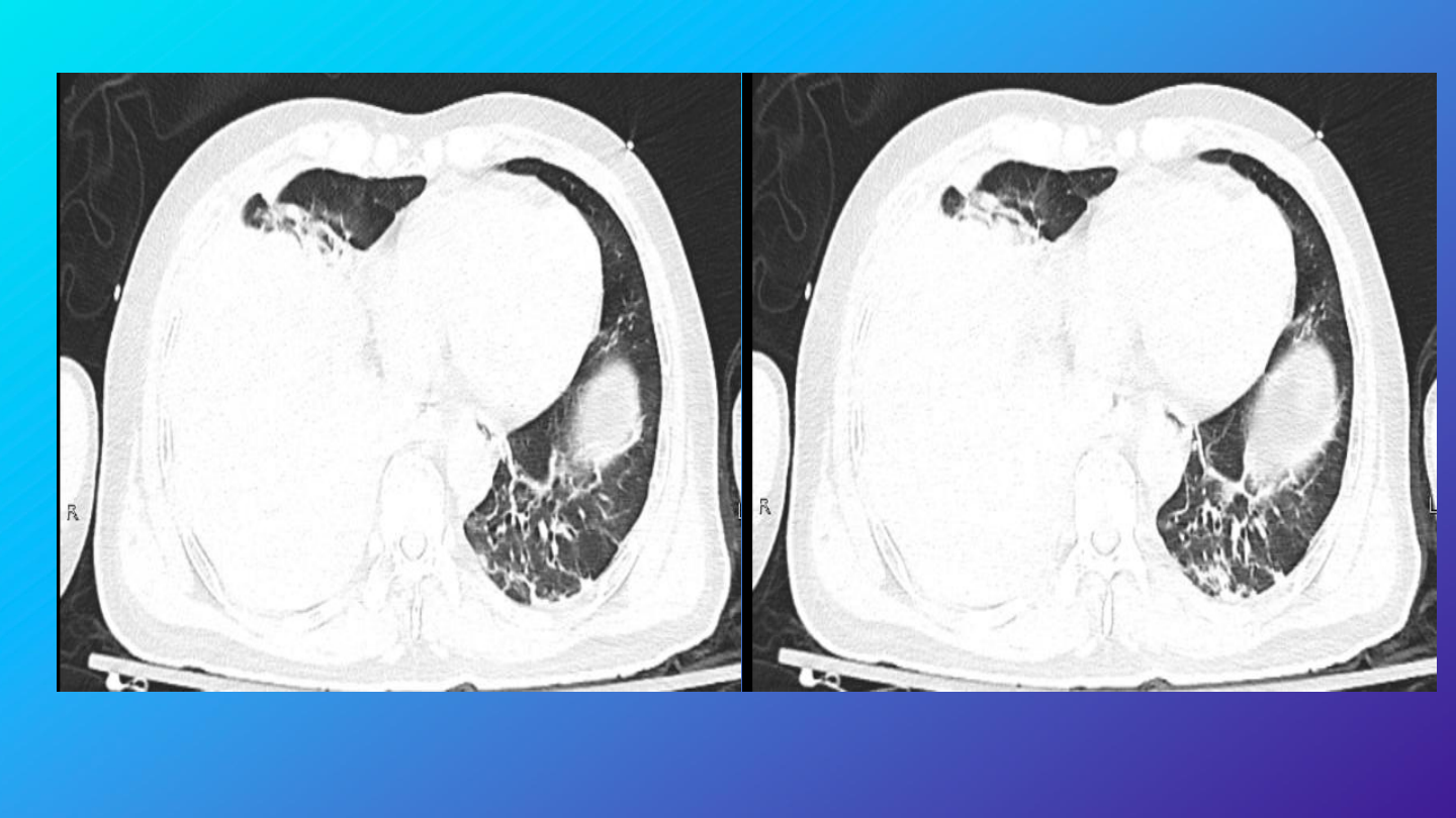
background image

完善胸部增强

右侧胸腔积液、积血,较前片

2024-10-22 10:20

)积液、积血

增多,请结合临床;
右肺下叶肺不张,右肺各叶及左
肺下叶炎性渗出改变。
右侧第

5

6

前肋骨皮质略褶皱。

background image
background image
background image
background image

急诊手术治疗

手术探查胸腔可见大量不凝血及血凝块,量约

1500ml

,胸腔可见粘连,右侧肋骨骨折,胸壁可

见活动性出血,下肺可见裂口,大小约

1.0*1.0cm

在合适位置取小切口,导入胸腔镜器械,吸尽积
血及血凝块,予以普罗林线修补肺破裂口并止血
成功,再胸壁明显出血处予电凝及缝扎止血,彻
底止血。清点纱布器械无误后,缝合皮下皮肤,
放置胸腔引流管并固定,右侧胸腔留置闭式引流

,

无菌敷料黏贴,连接胸引管,结束手术。

background image

小结

l

要有预见性,交代好病情,规避风险

l

临床思维的开拓,及时去除病因,是提高抢救效率的关键

l

对疾病不能一元论论之,要多元论/发散思维论之

background image

感谢聆听

《没有人 是一座孤岛》

没有谁是一座孤岛

每个人都是大陆的一部分

任何生命的逝去都是我的损失

因为,我是人类的一员