PFNA手术治疗股骨转子间骨折——安全、微创、快速康复的选择
股骨转子间骨折是老年人常见的骨折类型之一,尤其在骨质疏松症高发的群体中更为常见。这种骨折不仅给患者的日常生活带来极大不便,还可能引发严重的并发症,甚至危及生命。因此,及时有效的治疗至关重要。
什么是PFNA手术?
PFNA(Proximal Femoral Nail Antirotation,股骨近端防旋髓内钉)是一种先进的微创内固定技术,专为治疗股骨转子间骨折设计。它通过在股骨髓腔内插入特制的髓内钉,并配合多个锁定螺钉,实现对骨折部位的稳定固定,从而促进骨折愈合。
PFNA手术的优势:
1.微创性
与传统切开复位内固定术相比,PFNA手术创伤更小。手术仅需在患者大腿外侧做一个小切口即可完成操作,术后疼痛轻、恢复快,尤其适合高龄或身体状况较差的患者。
2.稳定性高
PFNA设计独特,能够有效防止骨折部位旋转和移位,提供坚强的固定效果,从而减少术后并发症的发生率,如内固定失败或骨折不愈合。
3.手术时间短、术后康复快
由于手术创伤小,患者术后可以更快地开始康复训练。通常情况下,患者在术后几天即可进行部分负重活动,显著缩短了住院时间和恢复周期。
4.并发症少
PFNA手术操作简便且精准,术中出血量少,感染风险低,术后关节僵硬、血栓形成等并发症的发生率也较低。
5.适用范围广
PFNA适用于多种类型的股骨转子间骨折,包括顺粗隆型骨折、反粗隆型骨折以及部分转子下骨折。尤其对于骨质疏松患者的骨折,PFNA的固定效果更为显著。
PFNA手术的适应症:
1.股骨转子间骨折(AO/OTA分型31-A1至31-A3型);
2.年龄较大、身体状况较差或合并内科疾病的患者;
3.骨质疏松导致的传统内固定方式效果不佳的患者。
近日,我院收治了一例股骨转子间骨折的患者:
1.患者郑某,男,56岁;
2.因“摔伤致右髋疼痛不适伴活动受限3小时”入院;
3.既往无特殊病史;
4.专科检查:右下肢外旋、缩短畸形,右髋叩击痛(+),右下肢肌力明显减轻,末梢血运尚可;
5.辅助检查:我院骨盆CT示:右侧股骨颈及转子间骨折。
术前影像学检查:

排除手术禁忌症后,于我院在“椎管内麻醉”下行“右侧股骨转子间骨折闭合复位髓内钉内固定术”,术后安返病房,行抗炎、消肿、止痛等积极对症治疗。
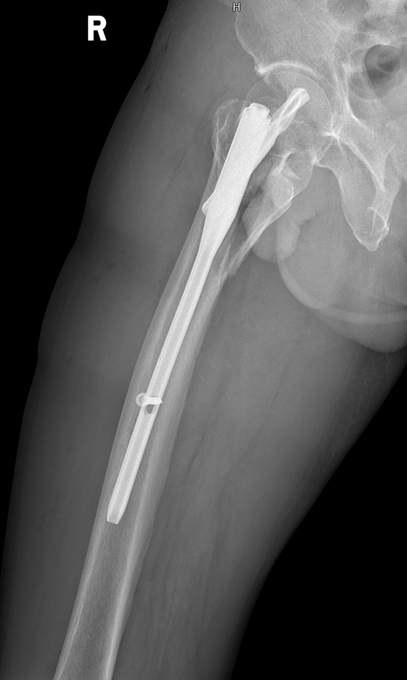
术后影像学检查:

选择PFNA手术的意义:
股骨转子间骨折若治疗不当,可能导致患者长期卧床,进而引发褥疮、肺炎、深静脉血栓等严重并发症。而PFNA手术不仅能够快速稳定骨折部位,还能最大限度地减少创伤和术后痛苦,帮助患者尽早恢复日常生活能力。
对于股骨转子间骨折患者来说,选择一种安全、有效的治疗方式至关重要。PFNA手术凭借其微创性、高稳定性及快速康复的优势,已成为该类骨折治疗的优选方案。如果您或您的家人不幸罹患此类骨折,请务必及时就医,并与专业医生沟通,共同制定最适合的治疗计划。