background image

肩袖损伤诊断及治疗

1

background image

内容简介

解剖

病因

肩峰撞击征

临床表现、查体、特殊体征

辅助检查

诊断、鉴别诊断

治疗

2

background image

概述-定义

肩袖:由冈上肌、冈下肌、肩胛下肌及小圆肌之

肌腱在肱骨头前、上、后方形成的袖套样肌样结

保持肱盂关节稳定,维持上臂各种姿势和完成各

种运动功能。

• 冈上肌损伤最常见(约占70%)

3

background image

概述

-

解剖

(

)

4

4

1

3

2

5

肩胛骨

3. 

喙突

4. 

肱骨头

5. 

关节盂

1. 

锁骨

2. 

肩峰

background image

概述

-

解剖(肩袖)

5

前面观

侧面

/

后面观

1.

2

3

4

1. 

肩胛下肌

  

2. 

冈上肌

3. 

冈下肌

4. 

小圆肌

background image

肩袖的解剖

冈上肌肌腱

冈下肌肌腱

小圆肌肌腱

肩胛下肌肌腱

background image

病因

• 1.

创伤是青少年肩袖损伤的主要原因;

• 2.

血供不足引起肩袖组织退行性变;

• 3.

肩部慢性撞击性损伤。

Neer

1983

)认

95%

肩袖损伤是长期肩部撞击磨损的结

果,循环障碍和创伤不是主要原因;

• 4.

临床上

50%

的肩袖断裂患者没有外伤史。

7

background image

肩峰撞击征

肩关节活动时,肩峰下结构(滑囊、肌腱
、肱骨头)与肩峰(含喙肩弓)的撞击;

无菌性炎症;

疼痛;

8

background image

9

喙肩弓

肩峰

background image

10

A

17%                  B

43%             C

40%

70%

C

型肩峰:

 

肩袖损伤

  

background image

临床表现

外伤史:急性损伤、重复性或累积性损伤史

疼痛与压痛:多位于肩前方,位于三角肌前方及

外侧;活动或增加负荷后加重;

夜间症状加重,

常痛醒;

压痛多见于肱骨大结节近侧,或肩峰下

间隙部位。

功能障碍:主动活动受限(以外展、外旋及上举

受限较明显);被动活动受限不明显。

11

background image

查体

视诊:

 

三角肌,肩胛骨,方肩

触诊:肩锁关节、大结节、结节间沟压痛

活动度:前屈上举、外旋、内旋、外展

                  

主动和被动活动

                  

力量

12

background image

Apley Test

(摸背试验)

——

以粗略的观察肩关节内旋、外旋

活动度

13

background image

特殊查体

1

、肩峰撞击症的体格检

1

Neer

试验:检查者

立于患者背后,一手固
定肩胛骨,另一只手保
持肩关节内旋位,使患
肢拇指间向下,然后使
患肩前屈过顶。如果诱
发出疼痛,即为阳性。

14

                                      

background image

特殊查体

1

、肩峰撞击症的体格检

(2)Hawkin’s

试验:

者肩关节内收位90度,肘
关节屈曲90度,前臂保持
水平

治疗师用力使患者前臂向
下致肩关节内旋,出现疼
痛为试验阳性

阳性提示:

–肩袖肌腱撞击喙肩弓
–肩前部疼痛提示撞击综

合征

15

background image

特殊查体

2

、冈上肌损伤特殊查体

1

Jobe

试验:

外展

90度,然后内旋并向前
30度,

前臂旋前拇指尖

向下。

在此体位上,治

疗师向下加阻。

患者上抬抗阻阳性-无力

或疼痛;提示

冈上肌

病变、肩峰撞击综合征

16

background image

特殊查体

2

)落臂试验:检查者

将患者肩关节外展至

90

度以上,嘱患者自

行保持肩外展

90

100

度的位置,缓肩无力
坠落者为阳性

.

该试验对诊断冈上肌损

伤具有高度的特异性
,但

阳性率不高,

见于

冈上肌完全撕裂

的病例。

background image

Lift off test

Lift off 

试验

肩胛下肌

患者将手置于背
部,手心向后,
然后嘱患者将手
抬离背部,治疗
师适当给予阻力

阳性-不能完成
动作,提示肩胛
下肌损伤

background image

• Napoleon test

:患者

将手至于腹部,手背
向前,屈肘

90

°,肘

关节不要贴近身体,
检查者将患者手向前
抬,嘱患者做抗阻压
腹运动,两次对比,
力弱者为阳性。

 

拿破仑试验(

Napoleon test

肩胛下肌

压腹试验

background image

冈下肌

&

小圆肌肌力检查

(

外旋

)

外旋

(

衰减

)

试验

外旋抗阻试验(肩处于内

收位,屈肘

90

°,肘部

处于体侧并夹紧,嘱患
者双臂外旋抗阻)

 

background image

冈下肌

&

小圆肌肌力检查

(

外旋

)

21

background image

影像学

-X

线

正常肩关节

肩峰撞击

22

background image

巨大肩袖损伤肩峰下间隙

<9mm

23

background image

影像学检查

-MRI

最常用

斜冠状面、斜矢状面、横断面

常用的检查序列是

T1WI

T2

压脂

阳性率

95%

24

background image

冈上肌

background image

冈下肌

background image

肩胛下肌

background image

小圆肌

background image

肩袖损伤病理分级

Neer

将肩袖的慢性改变的病理过程分为三级:

•I

级    

肌腱炎 

肌腱的水肿和出血,尤其是冈上肌腱

•II

级   

肌腱退变和纤维化(包括肩袖部分撕裂)

•III

级  

肩袖全层撕裂

        

 

background image

肩袖损伤的

MRI

分级

分级

MRI

表现

Neer

分级

0级 

正常,表现为均匀
一致的低信号

1级 

肌腱信号增高,但
厚度和形态正常

I

   

肌腱炎

2级

肌腱信号增高,并
伴有形态改变,如
肌腱变薄或不规则

II

级 

肌腱纤维化

    肩袖部分撕裂

3级

肌腱不连续,并伴
有肌腱破裂部位的
信号增高

III

级 

肩袖全层撕

background image

斜冠状位(临床最常用)

T2

T1

31

background image

斜矢状位

冈上肌出口,肩袖诊断不如
斜冠状位

冈上肌及肌腹脂肪浸润成度
,评估手术与否

32

background image

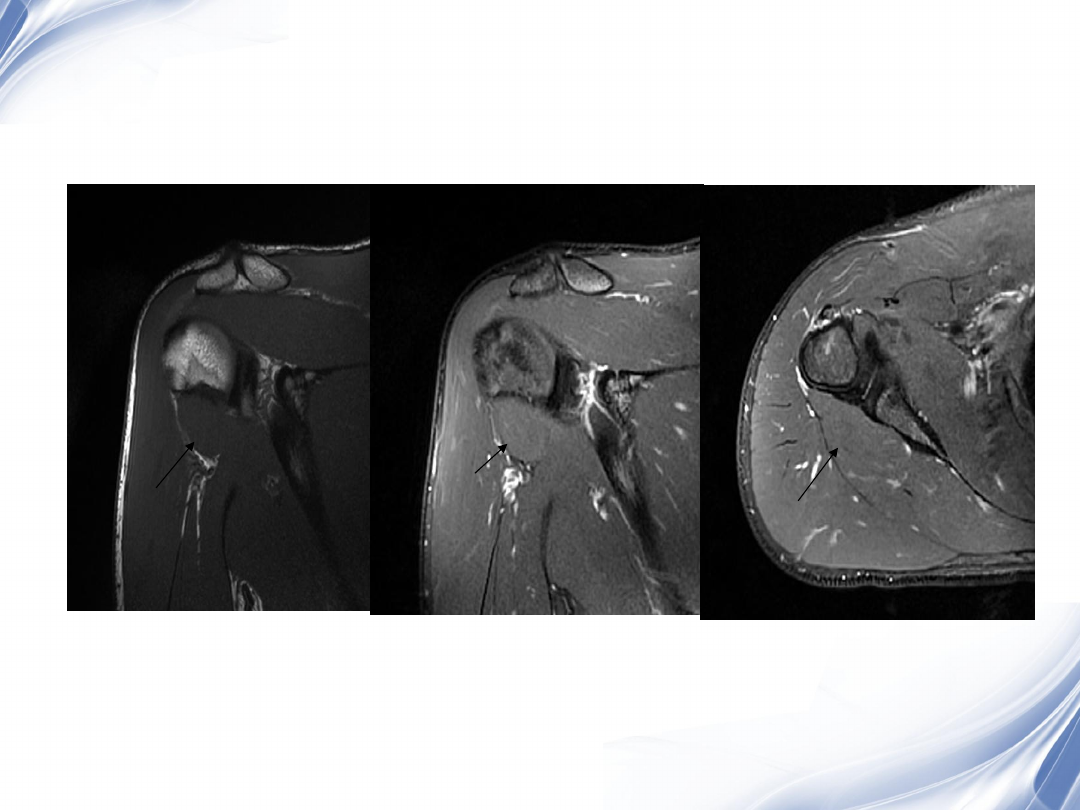
横断位

正常肩胛下肌

肩胛下肌损伤

33

background image

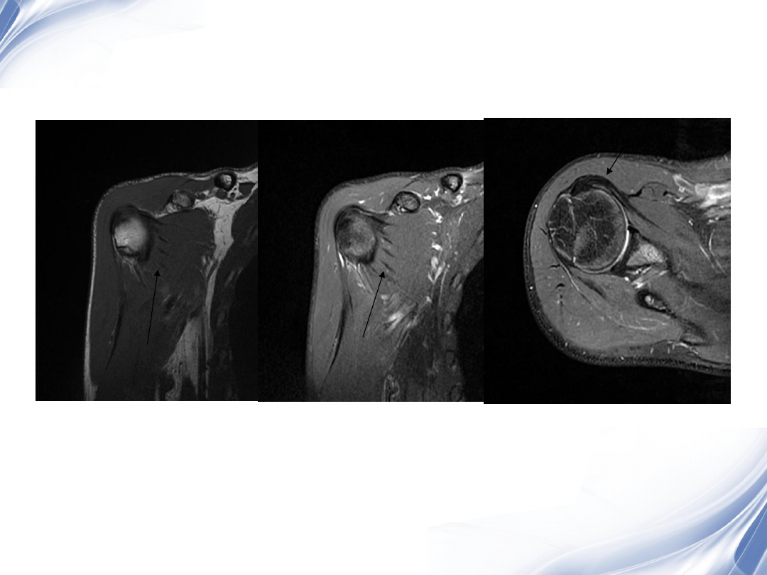
34

肩袖全层撕裂

正常MRI

background image

35

background image

巨大肩袖损伤(冈上肌)

T2WI

T1WI

36

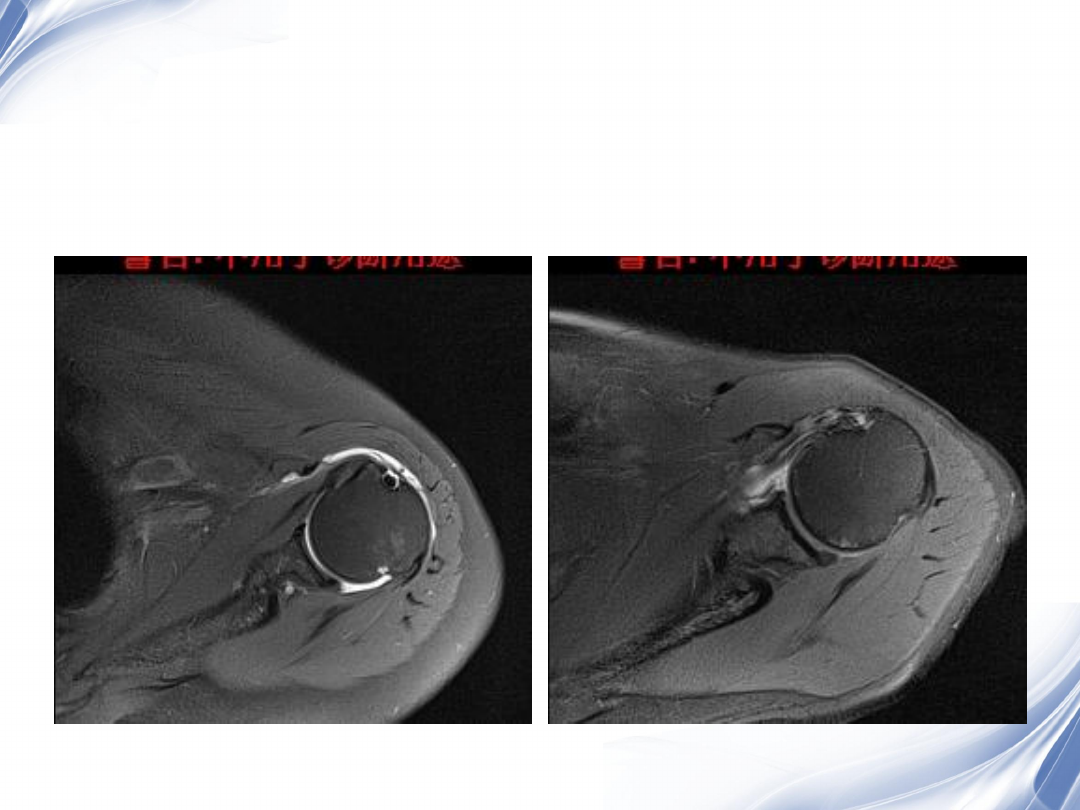
background image

术后

2

37

background image

其他检查

• B

超:

 

技术要求高

肩关节造影

关节镜检查:金标准

38

background image

诊断

病史

体征

特殊查体阳性

• X

线

• MRI

(超声、关节镜检查)

39

background image

鉴别诊断

• 1.

肩周炎(冻结肩,五十肩)

• 2.

颈椎病

• 3.

肱二头肌长头腱炎

• 4.

钙化性肩袖肌腱炎

• 5.

四边孔综合征

• 6.

创伤后肩关节粘连

40

background image

鉴别诊断

1.

肩周炎(冻结肩,五十肩):

主动活动受限明显

被动活动受限明显

肩袖损伤:

主动活动受限明显

被动活动受限不明显

41

background image

鉴别诊断

2.

颈椎病:

•  

疼痛从颈部至肩部

•  

放射痛

•  

颈部查体异常

影像学不同

42

background image

鉴别诊断

3.

肱二头肌长头腱炎:

结节间沟压痛明显

结节间沟封闭有效

43

background image

鉴别诊断

4.

钙化性肩袖肌腱炎:

 

疼痛剧烈(囊未破裂,无
明显症状,临床观察)

• X

线

44

background image

鉴别诊断

5.

四边孔综合征

旋肱后动脉和腋神经在四边孔处受压

三角肌萎缩

肩外侧的麻木以及肩外展无力或受限

电生理检查:三角肌失神经支配电位

,腋神经传导速度减慢。

45

background image

鉴别诊断

6.

创伤后肩关节粘连

主动被动活动受限

受伤史,长时间固定

46

background image

治疗

保守治疗

手术治疗

:        

         

切开或关节镜下肩袖修补术

47

background image

保守治疗

适应证:

  

疼痛但无力弱者;病程小于

1

方法:

       NSAIDS

药物

      

肩峰下激素注射

(1

/6

个月

)

(玻璃酸钠)

   

      

物理治疗

     
      

48

background image

手术治疗

49

• Neer

肩峰成形术

  1972

background image

肩袖撕裂

将撕裂的肩袖拉回止点,

重新固定,恢复病人肩关

节的正常功能

background image

SutureBridge – 

富士胶片压力敏感仪

SutureBridge

(缝合桥)

 100%

足印附着

 

单排缝合

46%

足印附着

background image

手术治疗(缝合桥)

52