background image

 

寰枢椎脱

位”的科普:

 

 

 

一、什么是寰枢椎脱位?发生在颈椎的哪个部位?

 

 

寰枢椎是颈椎的最上两个节段

 

寰椎(

C1

):是颈椎的第一节,形状特殊,无椎体

 

枢椎(

C2

):是第二节颈椎,其齿突结构为寰椎提供旋转轴

 

 

寰枢椎脱位(

Atlantoaxial Dislocation

AAD

),是指由于外伤、先天异常、炎症等

原因,使得寰椎与枢椎之间的正常对位关系失衡,导致寰椎滑移、旋转或完全脱位,
从而压迫脊髓或神经结构

 

 

二、好发人群及主要症状

 

1. 

好发人群

 

1)

 

先天性畸形患者:如齿状突发育不良、颅底凹陷症。

 

2)

 

外伤者:车祸、高处坠落等导致颈椎损伤。

 

3)

 

类风湿关节炎患者:炎症破坏韧带稳定性。

 

4)

 

Down

综合征患者:韧带松弛风险高。

 

 
2. 

主要症状

 

1)

 

颈部疼痛、僵硬,活动受限(尤其是转头时)。

 

2)

 

神经压迫症状:四肢麻木、无力,严重者出现四肢瘫痪。

 

3)

 

脑干受压表现:头晕、吞咽困难、呼吸困难(罕见但危急)。

 

 

三、如何治疗?——案例解析

 

病例介绍

 

患者:

63

岁女性,半年前无明显诱因下出现右侧颈肩痛。

 

 

影像学检查:

 

1)

 

X

线:显示寰椎前移(图

1

)。

 

background image

 

2)

 

MRI

:脊髓空洞(图

2

)。

 

 

background image

 

临床诊断

 

环枢椎脱位;环枢椎不稳;颅底凹陷症;脊髓空洞症

 

 

治疗方式

 

手术方案:导航下后入路寰枕减压

+C1-2

椎间植骨融合内固定术。

 

 

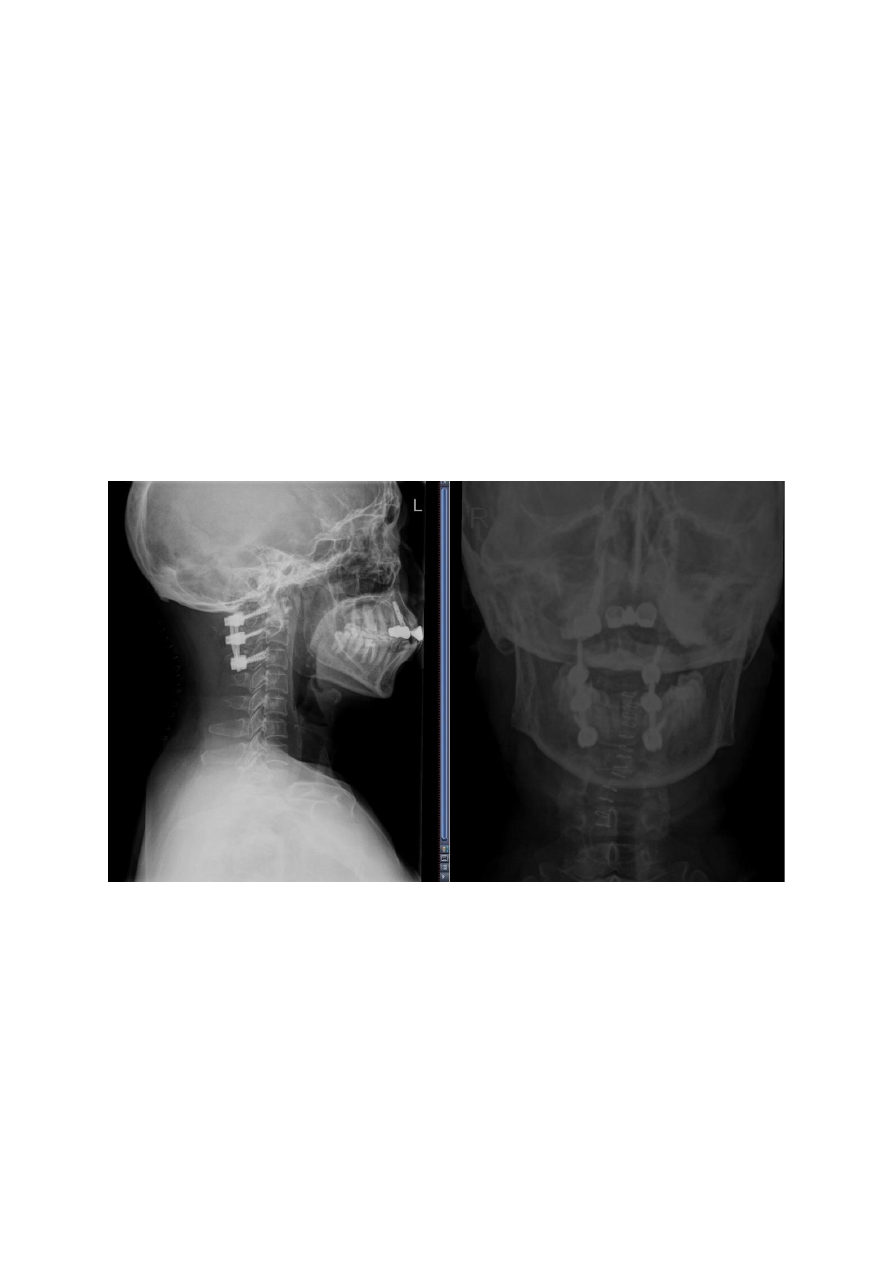
术后对比

 

症状改善:术后疼痛明显缓解。

 

 

影像学结果:

 

3

:术后

DR

显示复位良好

 

 

 

4

:术后

1

年、

3

MRI

提示脊髓空洞范围逐渐减小

 

background image

 

 

四、术后康复建议

 

早期(

0-6

周):

 

佩戴颈托固定,避免颈部扭转或低头。

 

在医生指导下进行轻柔的肩部、上肢活动。

 

 

中期(

6-12

周):

 

逐步开始颈部肌肉等长收缩训练。

 

避免提重物或剧烈运动。

 

 

后期(

3

个月后):

 

康复科评估,进行颈椎稳定性训练(如游泳、核心肌群锻炼)。

 

定期复查影像,确保内固定无移位。

 

 

五、小结

 

寰枢椎脱位虽非高发病,但一旦发生,后果严重,甚至致瘫。

 

早期识别、准确诊断、及时手术与规范康复,是患者功能恢复的关键。若您或家人有
相关症状,务必及早就医,避免延误治疗时机